Tiensuu, Sampo; Dauermodifikaatio - Ympäristön aiheuttamat muutokset voivat kestää useita sukupolvia. Seepia 5 (2002):3-7

PDF

Dauermodifikaatio

Ympäristön aiheuttamat
muutokset voivat kestää
useita sukupolvia

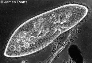
Paramecium caudatum

Ennen kuin Charles Darwinin ajatus luonnonvalinnasta tuli yleisesti hyväksytyksi, oli vallalla ranskalaisen Jean Baptiste Lamarckin (1744-1829) teoria lajien sopeutumisesta. Lamarckin mukaan kaikki eliöt pystyvät muuttamaan itseään elinympäristöönsä paremmin sopeutuviksi ja siirtämään uudet ominaisuudet jälkeläisilleen. Teoksessaan The Origin of Species (1859, suom. Lajien synty) Darwin kumosi Lamarckin väitteet laajan todistusaineistonsa perusteella ja esitti vaihtoehtoisen luonnonvalintaan perustuvan teorian, joka on toiminut myös nykyisen evoluutioteorian perustana. Myöhemmin Darwin alkoi kuitenkin uusien havaintojensa perusteella yhä enemmän vakuuttua siitä, että myös hankittujen ominaisuuksien periytymisellä saattaa olla osuutensa evoluutiossa [4]. Lukuisat kokeet osoittavat, että hankitut ominaisuudet voivat todella siirtyä tuleville sukupolville. Niiden osuudesta evoluutiossa ei kuitenkaan ole minkään laista näyttöä. Havainnoissa ei siis varsinaisesti ole kysymys lamarckismista.

Venäläissyntyinen saksalainen Victor Jollos havaitsi tällaisen ilmiön 1910-luvun alussa tutkiessaan tohvelieläinten (lähinnä Paramecium caudatum, P. aurelium ja P. multimicronucleatum) kykyä kestää korkeita lämpötiloja ja kemikaaleja, kuten arsenikkia [7]. Kun tohvelieläimiä pidettiin tarpeeksi pitkään tavallista korkeammassa lämpötilassa, niiden lämmönsietokyvyn yläraja nousi kaksi, joskus jopa kolme astetta samaan klooniin kuuluvaan vertailuryhmään nähden. (Tohvelieläinten yhteydessä kloonilla tarkoitetaan kaikkia niitä yksilöitä, joilla on sama perimä. Tällaisia ryhmiä syntyy suvuttoman lisääntymisen surauksena.)

Kuva 1: Eräs tohvelieläin (Paramecium caudatum). Isotuma ei näy kuvassa, sillä se on juuri hajonnut eräässä tohvelieläimille luontaisessa prosessissa. Kuvan kaksi sinistä vesikkeliä kehittyvät myöhemmin tumiksi.

Lämmönsietokyvyn kasvaminen kesti kuitenkin useita vuosia eli tuhansia sukupolvia. Tämän jälkeen ominaisuus säilyi niin kauan kuin eläimet lisääntyivät suvuttomasti, mutta kahden tohvelieläimen välinen konjugaatio eli geenien vaihto sekä endomiksiaksi kutsuttu tuman uudelleenjärjestäytymisprosessi yleensä poistivat ominaisuuden. Jos korkea lämpötila oli kuitenkin jatkunut tarpeeksi kauan, muutoksen häviäminen saattoi kestää yhden, joskus useitakin konjugaatioita. Jollos teki vastaavia kokeita myös arsenikilla saaden sanamkaltaisia tuloksia. Niissä eläinten kuolleisuus oli kuitenkin suuri, joten tulokset voivat ainakin osittain selittyä mutaatioiden ja valinnan avulla. Arsenikkiresistanssikin kuitenkin hävisi vähitellen, mutta saattoi kestää jopa 600 sukupolvea. [20] Jollosin kokeet ovat varsin vakuuttavia, vaikka häntä onkin kritisoitu siitä, että hän ei kontrolloinut kunnolla ravinnon saatavuutta kokeiden aikana [20].

Dauermodifikaatio monisoluisilla eliöillä

Jollos alkoi kutsua ilmiötä dauermodifikaatioksi (saks. Dauer=kesto). Hän päätteli, että dauermodifikaatio siirtyy sukupolvelta toiselle solulimassa eikä geeneissä. Nykyään termiä käytetään tarkoittamaan kaikkia ympäristön aiheuttamia muutoksia, jotka säilyvät sukupolvelta toiselle, vaikka muutoksen aiheuttanut ympäristötekijä ei enää olisikaan läsnä, mutta jotka kuitenkin lopulta häviävät. Ilmiöstä on myöhemmin tehty lisää havaintoja paitsi alkueläimillä [16], myös monisoluisilla eliöillä. Niillä muutos kestää kuitenkin vain muutamia sukupolvia.

Kuva 4: Habrobracon juglandiksen värimuutosasteita. Tummuminen aiheutuu alunperin korkeasta tai matalasta lämpötilasta kotelovaiheen aikana. Muutos näkyy kuitenkin vielä kahdessa seuraavassa sukupolvessa, vaikka ne kasvaisivatkin täysin normaaleissa olosuhteissa. Kuva lähteestä [18].

Aikuisten hyönteisten kutikulaa värittävät pigmentit syntyvät yleensä kotelovaiheen aikana. Kun erään vainopistiäislajin (Habrobracon juglandis) koteloita pidettiin yhden tunnin ajan korkeassa (+45 ºC) tai matalassa (–13 ºC) lämpötilassa, pigmenttiä kehittyi tavallista enemmän, jonka seurauksena kuoriutuvat pistiäiset olivat normaalia tummempia [11, 13, 18] (ks. kuva 4). Värimuutos näkyi kahdessa seuraavassa sukupolvessa vaikkakin heikentyneenä. Kolmannessa polvessa se oli hävimmyt kokonaan. Muutos näkyi erityisesti koiraspistiäisillä, kun taas naarailla ero on tuskin huomattava. Merkittävää on, että se kuitenkin periytyi lähes pelkästään naaraiden välityksellä. Tämä näyttäisi tukevan käsitystä, jonka mukaan dauermodifikaatio siirtyy solulimassa, sillä siittiön munasoluun tuoman soluliman määrä on vähäinen.

Toisen merkittävän havainnon teki Frederick Wenzl Hofmann tarhapavulla (Phaseolus vulgaris) – samalla lajilla, jota tutkimalla Mendel aikoinaan kehitti periytymisoppinsa. Tällä kertaa muutos kesti kuusi sukupolvea! [6] Hän käsitteli kasveja koko niiden kasvukauden ajan 0,75-prosenttisella kloraalihydraatilla, joka tunnetaan myös ”tyrmäystippoina”. Jotta geenien vaihdunnasta johtuvia fenotyypin muutoksia ei tapahtuisi, hän valitsi kasvit puhtaasta linjasta. Ne olivat toisin sanoen homotsygootteja kaikkien geeniensä suhteen. Käsitellyissä kasveissa näkyi lukuisia kasvuhäiriöitä. Monet lehdet olivat epäsymmetrisiä ja kiehkuroissa oli tavallisen kolmen sijasta kahdesta viiteen lehteä (ks. kuva 5). Lisäksi niihin ilmestyi keltaisia laikkuja.

Kasveista valittiin eniten muuntuneet ja annettiin niiden siementää. Koska tarhapavut tuottavat siemenensä itsepölytyksellä, ei perimän sekoittumisen vaarasta tarvinnut huolehtia. Puhtaan linjan kasvien jälkeläiset ovat tällöin aina perimältään vanhempiensa klooneja. Siemenistä 200 kylvettiin ja kasvatettiin uusiksi kasveiksi. Näistä 146 oli vanhempiensa tapaan epämuodostuneita. Näin jatkettaessa muuntuneitten kasvien osuus väheni joka sukupolvessa, kunnes seitsemännessä polvessa ei ollut enää yhtään epänormaalia yksilöä.

Hofmann osoitti risteytyskokeilla, että muutos ei ole voinut tapahtua kromosomistossa. Hänen mukaansa ”periytyminen” ei myöskään ole voinut johtua kloraalihydraatista, jota olisi siirtynyt pieniä määriä soluliman mukana, sillä kun kasvuhäiriöt johtuivat kloraalihydraatin suorasta vaikutuksesta, palautui kasvu normaaliksi heti, kun käsittely lopetettiin. Jos periytyminen taas olisi johtunut pelkästään kloraalihydraatin muuttamasta siemenkudoksesta, sen olisi pitänyt kestää vain yhden sukupolven, sillä seuraavassa sukupolvessa alkuperäisen siemenen soluja ei enää ole jäljellä. Olisi myös hyvin epätodennäköistä, että tulokset olisivat syntyneet sattumalta, sillä vaikka pavuissa ilmenee luontaisesti silloin tällöin tämän kaltaisia kasvuhäiriöitä, niitä tavataan vain yhdellä 5000 kasvista. Näillä perusteilla Hofmann päätteli, että kyseessä täytyy olla solulimassa tapahtunut muutos, joka aina solun jakautuessa siirtyy soluliman mukana kummallekin tytärsolulle.

Kuva 5: Esimerkkejä tarhapavun (Phaseolus vulgaris) lehdissä tapahtuneista muutoksista. Vain P-sukupolven kasveja on käsitelty kloraalihydraatilla, mutta myös kuudessa seuraavassa sukupolvessa on muuntuneita lehtiä. – Normaali lehti on kuvattu Helsingin yliopiston kasvimuseon kokoelmasta. Muut kuvat ovat lähteestä [6].

Vesikirpun kypärä

Kuva 2: Daphnia cucullata. Elektronimiksroskooppikuva, jossa näkyy normaali (vas.) sekä kairomoniympäristössä syntynyt suojapanssari.

Kuva 3: Daphnia longispina, joka on läheistä sukua D. cucullatalle

Useita sukupolvia kestävät dauermodifikaatiot ovat kuitenkin monisoluisilla harvinaisia, vaikkakin yksisoluisilla ilmeisesti erittäin yleisiä [16, 20]. Monisoluisten eliöiden muutoksista suurin osa periytyy ainoastaan yhden kerran. Ominaisuuden vanhemmiltaan perinyt eliö ei siis siirrä sitä enää omille jälkeläisilleen. Yksi vaikuttavimmista esimerkeistä on seuraava vastikään vesikirpuilla havaittu ilmiö.

Jo pitkään on tiedetty, että eräiden vesikirppujen vihollisten erittämät kemikaalit vaikuttavat vesikirpuille kehittyvän suojapanssarin kokoon (ks. kuva 2). Kun vedessä on tiettyjä kairomoneiksi kutsuttuja kemikaaleja, lajista riippuen vesikirppu joko kehittyy piikikkääksi tai kasvattaa tavallista suuremman suojapanssarin. Neutraalissa ja kairomoniymäristössä kasvaneet vesikirput ovat keskenään niin erilaisia, että niitä on joskus luultu jopa eri lajeiksi. Uudet havainnot osoittavat, että Daphnia cucullata -vesikirpun "kypärän" kokoon vaikuttaa lisäksi myös vanhempien elinympäristö. Erään Naturessa julkaistun artikkelin [1] mukaan yksilön ja sen äidin kehitysympäristöillä on suunnilleen yhtä suuri vaikutus. Kun sekä aiti että yksilö itse elivät kairomoniympäristössä, kehittyi kypärä lähes kaksi kertaa niin suureksi kuin vertailuryhmällä. Kummankin tekijän vaikutus yksinään aiheutti muutoksen, jonka suuruus oli noin puolet yhteisvaikutuksen aiheuttamasta muutoksesta. Artikkelissa tarkasteltiin myös vastaavanlaista muutosta, jonka naurisperhosen (Pieris napi) toukat aiheuttivat peltoretikan (Raphanus raphanistrum) puolustuskemikaalien tuotannossa.

Tällaisia yhden kerran periytyviä muutoksia tunnetaan ainakin 60 [15]. Muutokset näkyvät yleensä puolustuskyvyssä ne aiheuttanutta ympäristötekijää vastaan tai ominaisuuksissa, joihin kyseinen ympäristötekijä luontaisesti vaikuttaa. (Tällainen on esimerkiksi tavallista nopeampi kasvu, joka aiheutuu ravinteiden lisääntymisestä.) Yhden kerran periytyviä muutoksia on havaittu lukuisissa eri eläinryhmissä kuten kasveissa, hyönteisissä, matelijoissa, sammakkoeläimissä ja jopa nisäkkäissä [15]. Nisäkkäiden kohdalla täytyy kuitenkin muistaa, että kemiallisia ominaisuuksia, kuten vasta-aineita ja viruksia, siirtyy runsaasti jälkeläisiin istukan ja äidinmaidon välityksellä [2].

Toimintamekanismi

Yritykset selittää dauermodifikaatiota pelkästään geenimutaatioiden avulla kaatuvat ilmiön portaattomuuteen – muutokset usein syntyvät ja häviävät vähitellen. Lisäksi olisi varsin epätodennäköistä, että perimässä tapahtuisi takaisinmutaatioita aina kun muutoksen aiheuttanut ympäristötekijä poistetaan [9]. Voidaan siis pitää varsin todennäköisenä, että dauermodifikaatio aiheutuu muutoksesta solulimassa eikä geenimutaatioista. Solulimassa tapahtuvaa periytymistä onkin tutkittu paljon – myös sellaisten ominaisuuksien kohdalla, jotka eivät suoranaisesti ole ympäristön aiheuttamia [2, 12, 17]. Varhaisten tutkimusten luotettavuutta on kuitenkin vaikea arvioida, sillä tuolloin mitokondrio-RNA:n eikä plasmidien eli solulimassa vapaina olevien DNA- renkaiden olemassaoloa ei vielä tunnettu.

Muutoksen asteen voisi ajatella riippuvan jonkin tietyn kemikaalin tai partikkelin määrästä solulimassa. On ehdotettu, että tällainen aine voisi siirtyä munasolun välityksellä jälkeläisiin, jolloin sen vaikutus jatkuisi, kunnes se on solun jakautumisen seurauksena laimentunut tarpeeksi. Tällainen vaikutus ei kuitenkaan voisi kestää kovin pitkään, sillä jo 30 solunjakautumisen aikana kemikaali laimenisi miljardisosaan alkuperäisestä. Ainakin jotkin vain yhden kerran periytyvistä muutoksista voitaisiin kuitenkin mahdollisesti selittää tällä tavoin. Onkin ehdotettu, että niissä olisi kysymys aivan eri ilmiöstä kuin Jollosin kokeissa, eikä niitä siksi pitäisi lainkaan kutsua dauermodifikaatioiksi [20]. Jos ominaisuuden aiheuttaneet solulimapartikkelit pystyisivät kuitenkin itsenäisesti kopioimaan itseään kuten virukset, voisi ominaisuus periytyä solulimassa loputtomasti. Tällä menetelmällä toimii todennäköisesti ainakin tohvelieläimellä havaittu plasmaattinen letaalitekijä, jota merkitään kreikkalaisella kirjaimella k (kappa) [20]. Tämän letaalitekijän siirtyminen konjugaatiossa eläimeltä toiselle riippuu konjugaation kestosta eli siitä, paljonko solulimaa sen aikana on ehtinyt siirtyä. Se toiminta ei kuitenkaan tiettävästi riipu elinympäristöstä.

Dauermodifikaation mekanismia etsittäessä on huomattava, että vastaava ilmiö tapahtuu yksilön kehityksessä kudosten erilaistuessa. Tällöin sitä kutsutaan determinaatioksi. Esimerkiksi ihmisen hermosoluilla ja verisuonen sisäseinämän soluilla on täsmälleen sama perimä. Kuitenkin hermosolut tuottavat jakautuessaan uusia hermosoluja ja verisuonen sisäseinämäsolut uusia sisäseinämäsoluja. Vaikka hermosolu siirrettäisiin verisuonisolujen keskelle, se tuottaisi edelleen vain uusia hermosoluja.

Alun perin se, millaiseksi jokin solukko kehittyy, riippuu ympäröivien solujen vaikutuksesta. Kun jokin alkion solu irrotetaan ja siirretään toiseen paikkaan, se kehittyy uuden ympäristönsä mukaisesti. Tätä ilmiötä kutsutaan induktioksi. Eläinsoluissa tapahtuu kuitenkin jossakin vaiheessa niin kutsuttu determinaatio. Tällöin solujen erilaistumista ohjaava tekijä alkaa säädellä itse itseään, eikä kehitys enää riipu ympäröivistä soluista. Jos determinoitunut jalkasolu siirretään käden paikalle, se kehittyy joka tapauksessa jalaksi [19]. Toisin kuin eläinsoluissa, kasvisoluissa determinaatiota ei yleensä tapahdu, vaan solut ovat joitakin poikkeuksia lukuun ottamatta totipotentteja eli kykeneviä sopivissa olosuhteissa kasvamaan kokonaiseksi kasviksi.

Geenitoiminnan itsesäätely toimii niin kutsutun takaisinkytkennän avulla. Geenin tuottama proteiini tai jokin sen reaktiotuote sitoutuu epäaktiiviseen aktivaattoriproteiiniin, joka muuttaa muotoaan ja voi sen jälkeen toimia helpottaen RNA-polymeraasin kiinnittymistä geenin operaattorialueelle. Vaihtoehtoisesti se voi inaktoivoida repressori- eli estäjäproteiinin, joka muutoin sitoutuisi geenin promoottorialueeseen estäen geenin transkription eli tulkinnan. Kummassakin tapauksessa kemikaalia syntetisoidaan jos, ja vain jos, sitä jo ennestään on solussa läsnä. Määrän kasvaminen liian suureksi estyy vastaavan, geenitoimintaa hillitsevän prosessin avulla.

Saksalainen biologi Alfred Kühn esittää perinnöllisyystieteen oppikirjassaan [13], että dauermodifikaatio voisi selittyä ns. predeterminaation eli ennen munasolun hedelmöittymistä tapahtuvan determinaation avulla. Hänen mukaansa predeterminaatio voi aiheutua joko ympäristön suorasta vaikutuksesta, äidin elimistössä olevista kemikaaleista tai munasolun omasta perimästä – ennen meioosiahan munasolussa on vielä äidin koko perimä tallella. Näistä ensimmäinen voisi selittää yhden kerran periytyvät muutokset ja toinen myös pitemmät dauermodifikaatiot, kuten Habrobracon juglandiksella havaittu.

Kühn ei kuitenkaan ota huomioon sitä mahdollisuutta, että munasolu voisi olla jo valmiiksi determinoitunut. Jokin koko organismiin vaikuttava ympäristötekijä, kuten lämpötila tai kemikaalit, voisi aiheuttaa determinaation yksilön kaikissa, myös iturataan kuuluvissa soluissa. Ituradassa tapahtunut determinaatio siirtyisi sitten yksilöpolvelta toiselle samoin kuin somaattisten solujen determinaatio siirtyy solusukupolvelta toiselle.

Tästä tuskin kuitenkaan on kysymys monisoluisten eliöiden dauermodifikaatioissa, sillä ne kestävät yleensä vain muutaman sukupolven, ja muutoksen vähittäinen poistuminen edellyttäisi paljon monimutkaisempaa säätelyjärjestelmää kuin edellä kuvattu. Yksisoluisilla sukupolvien välinen determinaatio on kuitenkin potentiaalinen ehdokas dauermodifikaatiomekanismiksi. Niillä yksilön jakautuminen voidaan nimittäin suoraan rinnastaa monisoluisilla tapahtuvaan somaattisten solujen jakautumiseen. Itse asiassa tohvelieläinkloonia voidaan jopa pitää yhtenä eläimenä, jolloin konjugaatiossa säilyvä dauermodifikaatio voitaisiin rinnastaa monisoluisten dauermodifikaatioon.

Yksisoluisillakin muutos häviää vähitellen, joskin pitkän ajan kuluessa. Vaikka yleensä uskotaankin, ettei dauermodifikaation häviäminen johdu normaalin ympäristön kumoavasta vaikutuksesta, olisi mielestäni varsin mahdollista, että esimerkiksi tohvelieläimille olisi kehittynyt kyky sopeutua molempiin suuntiin.

Solulima ja evoluutio

Vaikka tietyt elämän aikana hankitut ominaisuudet voivatkin siirtyä jälkipolville, dauermodifikaatiossa ei kuitenkaan ole kysymys hankittujen ominaisuuksien periytymisestä siinä mielessä kuin Lamarck sen ajatteli. Dauermodifikaatiot eivät voi osallistua lajin kehitykseen, sillä ne häviävät aina ennemmin tai myöhemmin. Lisäksi dauermodifikaatio ilmenee vain tietyissä ominaisuuksissa – sellaisissa, joiden säätelyjärjestelmään se on erikseen evolvoitunut. Monissa tapauksissa dauermodifikaatio on selvästikin luonnon valinnan avulla saavutettu sopeutuma jatkuvasti muuttuvaan elinympäristöön. Esimerkiksi tohvelieläinten kyky sopeutua erilaisiin lämpötiloihin ilman geeniperimän muutosta varmasti parantaa lajin elinkelpoisuutta. Samoin vesikirpulle on hyötyä siitä, että se jo elämänsä alussa tietää mahdollisesta vaarasta ja voi aloittaa valmistautumisen heti. Tarhapavun dauermodifikaatiota on kuitenkin vaikeampaa selittää. Kuinka kasvuhäiriöiden periytyminen voisi olla lajille edullista?

Solulimaperiytyminen kuitenkin mitä ilmeisimmin osallistuu evoluutioon, vaikka sen osuus ei liene läheskään yhtä merkittävä kuin geenien. Solulima sisältää paljon geenien toiminnalle välttämätöntä informaatiota. Muutokset epigeneettisessä eli geenien transkriptiosta eli tulkinnasta vastaavassa systeemissä luonnollisesti vaikuttavat geenien toimintaan, eikä edes standardina pidetty geneettinen koodi eli DNA:n emästen ja aminohappojen välinen vastaavuus ole kaikilla eliöillä sama. Joidenkin tutkijoiden mukaan epigeneettisessä systeemissä tapahtuvilla muutoksilla on paljon luultua suurempi osuus evoluutiossa [5]. Soluliman merkitystä lajien välisissä eroavaisuuksissa on vaikea testata, sillä eri lajien yksilöt eivät yleensä risteydy keskenään. On kuitenkin selvää, että vaikka tohvelieläimeen siirrettäisiin ihmisen perimä, se ei kehittyisi ihmiseksi.

Vaikka sukupolvien välinen determinaatio ei selvästikään aiheuta monisoluisten eliöiden dauermodifikaatiota, se saattaa kuitenkin selittää varsin suuren osan solulimaperiytymisestä. Jos otetaan huomioon, kuinka yleinen ilmiö determinaatio on kudosten erilaistumisessa, voisi kuvitella, että kaikilla eliöillä on lukuisia ominaisuuksia, jotka ovat säilyneet soluissa ”determinoituneina” – geneettisen takaisinkytkennän avulla – jo miljoonien vuosien ajan ja säilyvät edelleen niin kauan kuin se on lajille edullista. Nämäkin ominaisuudet samoin kuin dauermodifikaatiokyky sekä muutokset epigeneettisessä systeemissä syntyvät mitä ilmeisimmin luonnonvalinnan eivätkä siis lamarckismin mukaisesti ympäristön suuntaavan vaikutuksen tuloksena.

Jostakin syystä modernit kehitysbiologian ja perinnöllisyystieteen oppikirjat ja hakuteokset eivät mainitse dauermodifikaatiota lainkaan. Tiedossani ei ole yhtään mainintaa varsinaisesta dauermodifikaatiosta tieteellisessä kirjallisuudessa vuoden 1971 jälkeen [13, 14]. Yhden kerran periytyvistä muutoksista on tosin myöhemminkin tehty lukuisia tutkimuksia maternaaliefektin nimellä [15].

Referoimani tutkimukset ovat kuitenkin mielestäni olleet perusteellisia, eikä ilmiön olemassaoloa ole syytä epäillä. En ole myöskään löytänyt yhtään vakavasti otettavaa kritiikkiä. Vaikka dauermodifikaatio onkin mitä ilmeisimmin todellinen ilmiö, siinä ei kuitenkaan missään tapauksessa ole kysymys lamarckismista, kuten eräät kirjoittajat (esim. [4]) tuntuvat luulevan. Dauermodifikaatio ei myöskään ole millään tavoin ristiriidassa evoluutioteorian kanssa, sillä muutokset ovat aina geenitoiminnan säätelemiä. Dauermodifikaatiosta ei kuitenkaan tiedetä paljoa. On sääli, ettei siitä ole tehty enempää tutkimusta.

Sampo Tiensuu

EliölajiMuutoksen aiheuttanut tekijäMuutoksen tyyppiMuutoksen kesto sukupolvissaLähde
TohvelieläimetKorkea lämpötilaKyky kestää korkeita lämpötiloja1-3[7, 8, 9]
Habrobracon juglandisKorkea lämpötilaTummuminen3[11, 18]
TarhapapuKloraalihydraattiLehtien muodonmuutos7[6]
PeltoretikkaNaurisperhosen toukatPuolustuskemikaalien lisääntyminen2[1]
VesikirppuVihollisten tuottamat kemikaalitSuojapanssarin suureneminen2[1]

Taulukko 1: Muutamia merkittävimpiä esimerkkejä dauermodifikaatiosta.
1) Suvullissesa lisääntymisessä 1-3 sukupolvea, suvuttomassa satoja.

Kirjallisuutta

[1] Agrawal, Anurag A.; Laforsch, Christian & Tollrian, Ralph; Transgenerational induction of defences in animals and plants. Nature 401 (1999): 60-63.

[2] Caspari, Ernst; Cytoplasmatic inheritance. Advances in Genetics 2 (1948).

[3] Caspari, Ernst; The role of genes and cytoplasmic particles in differentiation. Annals of the New York Academy of Sciences 60 (1955).

[4] Custance, Arthur C.; Science and Faith. The Doorway Papers Series 1988. http://www.custance.org/Library/Volume8/index.html

[5] Ho, M.W. & Saunders, P.T.; Beyond neo-darwinism – An epigenetic approach to evolution. Journal of Theoretical Biology, 78 (1979): 573-591.

[6] Hofmann, Frederick Wenzl; Some attempts to modify the germ plasm of Phaseolus vulgaris. Genetics 12 (1927): 284- 294.

[7] Jollos, Victor; Experimentelle Untersuchungen an Infusorien. Biologisch Zentralblatt. 33 (1913): 222-236.

[8] Jollos, Victor; Experimentelle Protistenstudien – I. Untersuchungen über Variabilität und Vererbung bei Infusorien. Archiv für Protistenkunde 43 (1921): 1-222.

[9] Jollos, Victor; Dauermodifikationen und Mutationen bei Protozoen. Archiv für Protistenkunde 83 (1934): 197- 219.

[10] Jollos, Victor; Inherited changes produced by heat-treatment in Drosophila melanogaster. Genetica 16 (1934): 476- 494.

[11] Kaestner, Hans; Die Wirkung von Temperaturreizen auf die Pigmentierung und Ihre Nachwirkung in den folgenden Generationen bei Habrobracon juglandis Ash. Wilhelm Roux' Archiv für Entwicklungsmechanik der Organismen 124 (1931).

[12] King, Karl; Cytoplasm, Inheritance and Mutations. 2001.

[13] Kühn, Alfred; Grundriß der Vererbungslehre. Quelle & Meyer, Heidelberg 1971.

[14] Kühn, Alfred; Lectures in Developmental Physiology. Springer-Verlag, 1971.

[15] Rossiter, MaryCarol; Incidence and consequences of inherited environmental effects. Annual Review of Ecology and Systematics 27 (1996): 451-476.

[16] Schuckmann, W. von & Piekarski, G.: Beiträge zum Problem der Dauermodifikation bei Protozoen. Archiv für Protistenkunde 93 (1940): 355-416.

[17] Sirks, M. J.; Plasmatic inheritance. The Botanical Review IV/3 (1938): 113-131.

[18] Schlottke, E.; Über die Variabilität der schwarzen Pigmentierung und ihreBeeinflußbarkeit durch Temperaturen bei Habrobracon juglandis. Zeitschrift für Vergleichende Physiologie 3 (1926).

[19] Walbot, Virginia; Holder, Nigel; Developmental Biology. Random House, 1987.

[20] Wichterman, Ralph; The Biology of Paramecium. New York, 1953.